Lower abdominal pain

Review the Learning Outcomes, Hx, PE and Labs, and begin the module with your Provisional Diagnosis. Keep hitting "Next" to move through the module.

Learning Outcomes

  1. Understand your relationship with the consulting diagnostic radiologists in the evaluation of a patient with lower abdominal pain.
  2. Learn the DDx considerations in abdominal pain scenarios.
  3. Understand the spectrum of imaging findings in appropriate modalities for evaluating patients with lower abdominal pain.

History

Physical Exam

Labs

Provisional Diagnosis

Select the Dx you believe is most appropriate
Acute cholecystitis would likely cause RUQ pain. A perforated ulcer would likely cause peritoneal signs such as rebound, abdominal rigidity, pain with movement. Appendicitis and diverticulitis are possible for lower abdominal pain, even if not localized to the RLQ or LLQ, respectively.
Well done. You were correct

Potential Acuity

What is your assessment of the likely acuity for this patient?

Well done. You were correct
Given the patient's age and history, the etiology of his abdominal pain needs to be further evaluated.

First Imaging Study

What is the first imaging study you will order?

The patient likely does not have cholecystitis. An acute abdominal series may reveal free air in the abdomen, dilated bowel, pneumatosis, portal venous gas, or be normal. A CT scan is a reasonable first step if clinical suspicion of pathology is high. For this patient, the abdominal series was initially obtained in the ED.
Well done. You were correct

Pertinent Imaging Observations

Click on the links below to view images from the study, and assess these key findings as best you can.

View the full study if you'd like to take a look yourself.

Second Imaging Study

What is the next imaging study you will order?

The CT scan would be the next appropriate imaging study.
Well done. You were correct

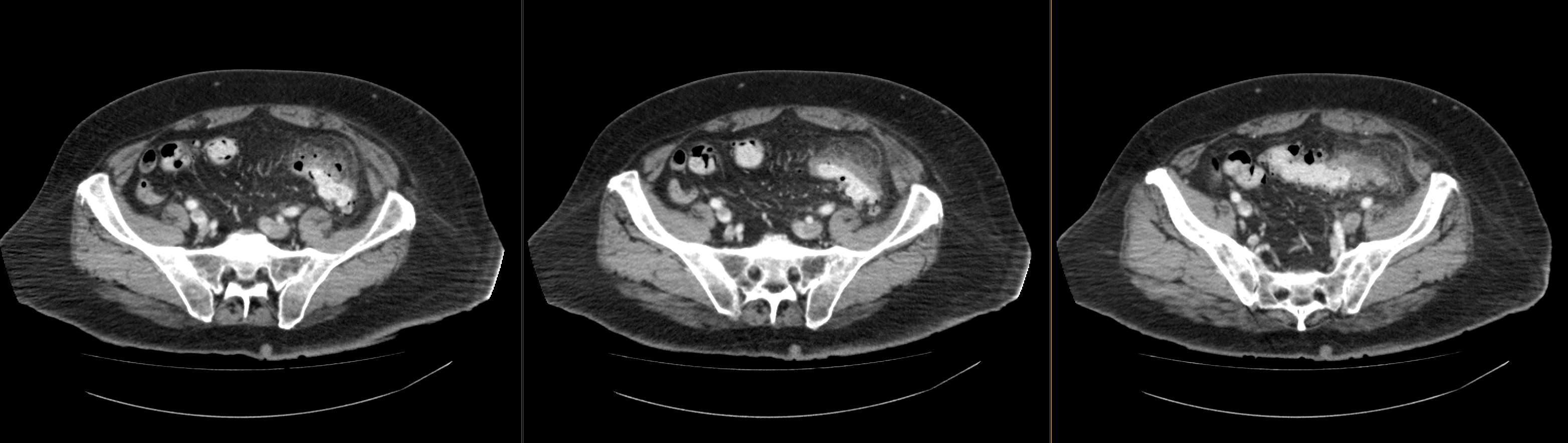
Pertinent Imaging Observations

Click on the links below to view images from the study, and assess these key findings as best you can.

View the full study if you'd like to like a look yourself

What is your Diagnosis now that you have seen the imaging results?

There is diverticulosis of the sigmoid colon. The thickening with fat stranding around the sigmoid are indicative of inflammation from diverticulitis. There is no fluid collection to suggest abscess.

Current Acuity

Initially, you selected and we suggested acuity.

Has your concern for this patient changed?

The patient will need IV antibiotic treatment and surgical consult.

Assessment and Plan

Please provide your assessment and plan for this patient

Diverticulitis without abscess or free air. The patient will be kept NPO initially and treated conservatively with IVFs and antibiotics. Serial abdominal exams. Surgery will be consulted.

CT abdomen/pelvis review

Lessons Learned: Uncomplicated diverticulitis can be treated conservatively with antibiotics. A small, contained abscess or microperforation can likely be managed conservatively. An abscess may be amenable to drainage by Interventional Radiology. A perforation with generalized pneumoperitoneum or extensive abscess formation would likely require surgical intervention.

Socioeconomic Factors: This patient was able to be treated conservatively and did not require home health services. He continued to be followed by the Oncology service for his NHL treatment.

That's the end of the module! Once you've reviewed the video(s), you can click here for another case challenge.

Next