Temporal Bone Trauma: Basic Approach

Temporal Bone Trauma: Basic Approach

Search Pattern Assist ?

History

Exam

Prior Study

Findings

Facial and Scalp Soft Tissues and Airway

Intracranial and Calvarium

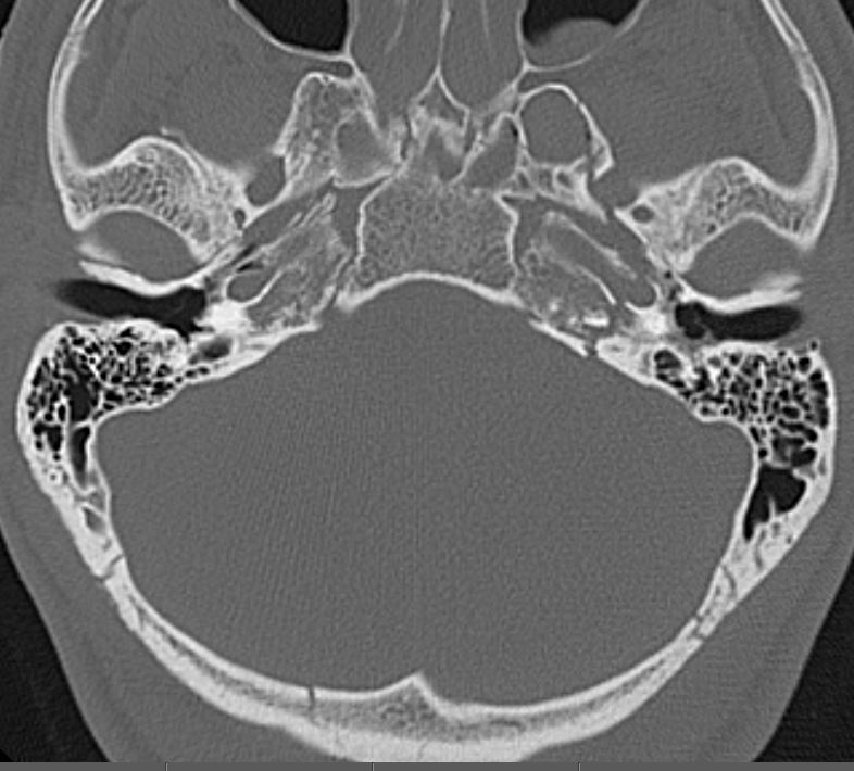
Right Temporal Bone

Left Temporal Bone

Midface - Maxillary region

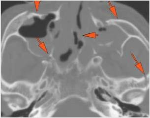
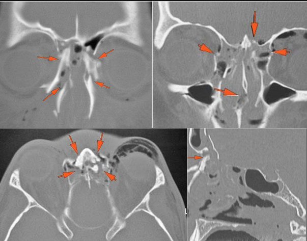
Fronto- naso - ethmoidal complex

Zygomatico-orbital region and globes

Central Skull Base and Calvarium

Mandible and Temporomandibular Joints

Dentition

Cervical spine

Impression

Temporal Bone Trauma

  1. ​Temporal bone fracture [with/without] complications - extent described above.

  2. ​Temporal bone fracture [with/without] complications and other craniofacial injury- extent described above.