Pharyngeal, Neck and Facial Infections Overview
Pharyngeal, Neck and Facial Infections Overview
Search Pattern Assist ?History
Exam
MR: Anatomically focused axial and coronal images through the face and neck region including T1 and T2 weighted acquisitions done with and without gadolinium contrast enhancement and, when indicated, MRV and fat suppression.
Findings
General
There is general or localized soft tissue swelling of the superficial or deep neck soft tissues. [Yes/No]
There is gas in the soft tissues. [Yes/No]
There is a foreign body separate from or in areas of soft tissue swelling. [Yes/No]
Nasopharynx
There is excessive enhancement or thickening of the mucosa or hypertrophy of the lymphoid tissue in the nasopharynx. [Yes/No]
There is evidence of an abscess within the lymphoid tissue of the nasopharynx. [Yes/No]
There is edema within the fat of the adjacent parapharyngeal space. [Yes/No]
There is an abscess within the fat of the adjacent parapharyngeal space. [Yes/No]
There is edema within the fat of the adjacent retropharyngeal space. [Yes/No]
There is an abscess within the fat of the adjacent retropharyngeal space. [Yes/No]
Oropharynx
There is excessive enhancement or thickening of the mucosa or hypertrophy of the palatine or lingual tonsillar tissue or the lymphoid tissue along the glossotonsillar sulci and posterior pharyngeal wall. [Yes/No]
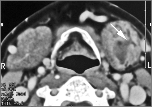
There is abscess relatively centrally within the lymphoid tissue of the palatine tonsil. [Yes/No]
There is abscess at the periphery of the lymphoid tissue of the palatine tonsil within the potential peritonsillar space of the palatine tonsil within the potential peritonsillar space
[Yes/No]
There is edema/abscess within the fat of the adjacent parapharyngeal and retropharyngeal spaces. [Yes/No]
Retropharyngeal Lymph Nodes
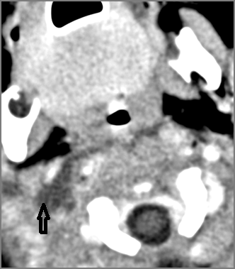
There is reactive retropharyngeal lymphadenopathy. [Yes/No]
There is suppurative retropharyngeal lymphadenopathy. [Yes/No]
If there is suppurative retropharyngeal adenopathy what is the maximum short axis dimension of the largest suppurative node. Measurement [Yes/No]
There is edema/abscess within the adjacent parapharyngeal and retropharyngeal spaces. [Yes/No]
Oral Cavity, Floor of the Mouth, Maxilla and Mandible
There is excessive enhancement or thickening of the fat or other soft tissues within or surrounding the buccal space, masticator space, floor of the mouth, submandibular space or the adjacent superficial fascia or subcutaneous fat and skin. [Yes/No]
There is subperiosteal abscess or an abscess cavity adjacent to or involving the maxilla or mandible. [Yes/No]
There is endodontal or periodontal disease that might be causing cellulitis or abscess. [Yes/No]
There is edema/abscess within the fat of the adjacent parapharyngeal and retropharyngeal space. [Yes/No]
Major Salivary Glands - Parotid Glands
The parotid glands are enlarged. [Yes/No]
The parotid glands do show abnormal enhancement. [Yes/No]
There are intraglandular cysts or sialocoeles. [Yes/No]
There is abscess within the parotid gland. [Yes/No]
The parotid ducts and the intraglandular ducts are dilated. [Yes/No]
The parotid ducts and the intraglandular ducts are with evidence of intraductal stones or other causes of obstruction. [Yes/No]
There is edema or abscess within the fat surrounding the parotid gland or of the adjacent masticator space or other spaces. [Yes/No]
There are abnormalities along the course of the facial nerve [Yes/No]
There are enlarged abnormal intraparotid, facial or posterior neck lymph nodes. [Yes/No]
Major Salivary Glands - Submandibular Glands
The submandibular glands are enlarged. [Yes/No]
The submandibular glands show abnormal enhancement. [Yes/No]
There are intraglandular cysts or sialocoeles. [Yes/No]
The submandibular ducts and the intraglandular ducts are dilated. [Yes/No]
The submandibular ducts and the intraglandular ducts are with evidence of intraductal stones or other causes of obstruction. [Yes/No]
There is edema or abscess within the sublingual or submandibular space. [Yes/No]
The submandibular lymph nodes are abnormal by imaging criteria. [Yes/No]
Major Salivary Glands - Sublingual Glands
The sublingual glands are enlarged [Yes/No]
The sublingual glands do show abnormal enhancement. [Yes/No]
Hypopharynx, Larynx, Deep Neck and Entire Retropharyngeal Space
There is excessive enhancement or thickening of the mucosa within in the hypopharynx, larynx or trachea. [Yes/No]
There is edema within in the hypopharynx, larynx or trachea. [Yes/No]
There is abscess within in the hypopharynx, larynx or trachea. [Yes/No]
There is edema within the adjacent deep neck, retropharyngeal and/or prevertebral spaces [Yes/No]
There is abscess within the adjacent deep neck, retropharyngeal and/or prevertebral spaces. [Yes/No]
Prevertebral and Epidural Spaces
There is edema/abscess within in the prevertebral or paravertebral spaces. [Yes/No]
There is edema/abscess within in the epidural space. [Yes/No]
There is erosive process involving the disc spaces or other components of the spine. [Yes/No]
Other Cervical Lymph Nodes
There is reactive cervical lymphadenopathy. [Yes/No]
There is suppurative cervical lymphadenopathy. [Yes/No]
If there is suppurative cervical adenopathy the purulent material outside the lymph node(s) capsule(s). [Yes/No]
Vascular Findings
There is evidence of thrombus, thrombophlebitis or other occlusive or inflammatory process of the jugular vein or smaller venous tributaries. [Yes/No]
There is evidence of thrombus, thrombophlebitis or other occlusive or inflammatory process smaller jugular venous tributaries. [Yes/No]
There is evidence of thrombus, inflammation of the common, external or internal carotid artery. [Yes/No]
There is evidence of a contained leakage from an arterial source. [Yes/No]
There is evidence of active extravasation from an arterial source [Yes/No]
Upper Lung Zones and Mediastinum
The upper lung zones and mediastinum visualized are abnormal. [Yes/No]
Other
Other significant abnormal findings are present [Yes/No]
Impression
Pharyngeal, Neck and Facial Infections
-
Other facial or neck cellulitis [with/without] abscess.
Odontogenic, Buccal-Masticator, FOM Infections
-
Odontogenic/masticator space/buccal space infection [with/without] abscess.
Pharyngitis - Tonsillitis
-
Pharyngitis [with/without] abscess.
-
Pharyngitis [with/without] suppurative retropharyngeal adenitis.
-
Tonsillitis [with/without] tonsillar abscess.
-
Tonsillitis [with/without] peritonsillar abscess.
Pharyngitis - Suppurative RP Adenitis
-
Retropharyngeal cellulitis [with/without] abscess.
Deep Neck Infections Non Pharyngeal - Iatrogenic Origin
-
Deep neck cellulitis [with/without] abscess.
-
Prevertebral abscess, discitis and/or epidural abscess.
Pharyngeal Origin Infection Infrahyoid Neck
-
Supraglottitis [with/without] abscess.
Sialoadenitis
-
Sialoadenitis [with/without] abscess.