Pharyngeal, Neck and Facial Infections: Pharyngeal Origin Infection Infrahyoid Neck
Pharyngeal, Neck and Facial Infections: Pharyngeal Origin Infection Infrahyoid Neck
Search Pattern Assist ?History
Exam
MR: Anatomically focused axial and coronal images through the face and neck region including T1 and T2 weighted acquisitions done with and without gadolinium contrast enhancement and, when indicated, MRV and fat suppression.
Prior Study
Findings
General
There is general or localized soft tissue swelling of the superficial or deep neck soft tissues. [Yes/No]
There is gas in the soft tissues. [Yes/No]
There is foreign body separate from or in areas of soft tissue swelling. [Yes/No]
Nasopharynx Including Retropharyngeal Lymph Nodes
There is edema/abscess or likely suppurative retropharyngeal adenitis involving the nasopharynx or adjacent deep tissue spaces. [Yes/No]
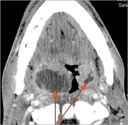
Oropharynx
There is edema/abscess tonsillar or otherwise or likely suppurative retropharyngeal adenitis involving the oropharynx or adjacent deep tissue spaces. [Yes/No]
Oral Cavity, Floor of the Mouth, Maxilla and Mandible
There is edema/abscess within or surrounding the buccal space, masticator space, floor of the mouth, submandibular space or the adjacent superficial fascia or subcutaneous fat and skin. [Yes/No]
Major Salivary Glands
The parotid, submandibular and sublingual glands are enlarged. [Yes/No]
The parotid, submandibular and sublingual glands do show abnormal enhancement. [Yes/No]
Hypopharynx, Larynx, Deep Neck and Entire Retropharyngeal Space
There is edema/abscess arising from the hypopharynx, larynx, thyroid gland or trachea. [Yes/No]
There is edema/abscess within the adjacent deep neck, and/or retropharyngeal space. [Yes/No]
There is evidence of a branchial or other origin inflamed/ infected developmental cyst. [Yes/No]
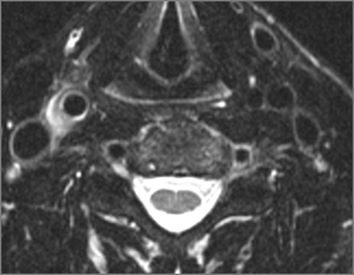
Prevertebral and Epidural Spaces
There is edema/abscess within in the prevertebral or paravertebral spaces. [Yes/No]
There is edema/abscess within in the epidural space. [Yes/No]
There is erosive process involving the disc spaces or other components of the spine. [Yes/No]
Cervical Lymph Nodes
There is reactive cervical lymphadenopathy. [Yes/No]
There is suppurative cervical lymphadenopathy. [Yes/No]
If there is suppurative cervical adenopathy the purulent material outside the lymph node(s) capsule(s). [Yes/No]
Vascular Findings
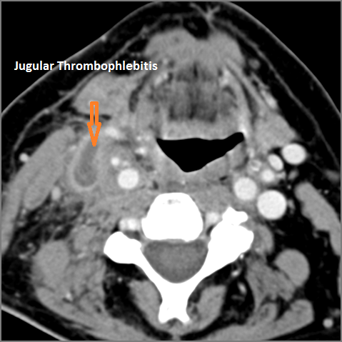
There is evidence of thrombus, thrombophlebitis or other occlusive or inflammatory process of the jugular vein or smaller jugular venous tributaries. [Yes/No]
There is evidence of thrombus, inflammation of the common, external or internal carotid artery. [Yes/No]
There is evidence of a contained leakage from an arterial source. [Yes/No]
There is evidence of active extravasation from an arterial or venous source. [Yes/No]
Upper lung zones and mediastinum
The upper lung zones and mediastinum visualized are abnormal. [Yes/No]
Other
Other significant abnormal findings are present. [Yes/No]
Impression
Pharyngeal Origin Infection Infrahyoid Neck
-
Pharyngitis [with/without] abscess.
-
Pharyngitis due to perforation or foreign body [with/without] abscess.
-
Suppurative lymphadenitis due to pharyngitis
-
Supraglottitis [with/without] abscess.
-
Retropharyngeal cellulitis-uncertain etiology [with/without] abscess.
-
Deep neck cellulitis – uncertain etiology [with/without] abscess.
-
Prevertebral abscess, discitis and/or epidural abscess.
-
Other facial or neck cellulitis [with/without] abscess.