Pharyngeal, Neck and Facial Infections: Pharyngitis - Tonsillitis
Pharyngeal, Neck and Facial Infections: Pharyngitis - Tonsillitis
Search Pattern Assist ?History
Exam
Findings
Nasopharynx
There is excessive enhancement or thickening of the mucosa or hypertrophy of the lymphoid tissue in the nasopharynx. [Yes/No]
There is evidence of an abscess within the lymphoid tissue of the nasopharynx. [Yes/No]
There is edema within the fat of the adjacent parapharyngeal space. [Yes/No]
There is abscess within the fat of the adjacent parapharyngeal space. [Yes/No]
There is edema within the fat of the adjacent retropharyngeal space. [Yes/No]
There is an abscess within the fat of the adjacent retropharyngeal space. [Yes/No]
Oropharynx
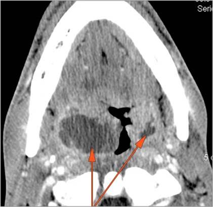
There is excessive enhancement or thickening of the mucosa or hypertrophy of the palatine or lingual tonsillar tissue or the lymphoid tissue along the glossotonsillar sulci and posterior pharyngeal wall. [Yes/No]
There is abscess relatively centrally within the lymphoid tissue of the palatine tonsil. [Yes/No]
There is abscess at the periphery of the lymphoid tissue of the palatine tonsil within the potential peritonsillar space. [Yes/No]
There is edema within the fat of the adjacent parapharyngeal space. [Yes/No]
There is abscess within the fat of the adjacent parapharyngeal space. [Yes/No]
There is edema within the fat of the adjacent retropharyngeal space. [Yes/No]
There is an abscess within the fat of the adjacent retropharyngeal space. [Yes/No]
Retropharyngeal Lymph Nodes
There is reactive retropharyngeal lymphadenopathy. [Yes/No]
There is suppurative retropharyngeal lymphadenopathy. [Yes/No]
If there is suppurative retropharyngeal adenopathy what is the maximum short axis dimension of the largest suppurative node. MEASUREMENT [Yes/No]
There is related edema/abscess within the adjacent parapharyngeal/retropharyngeal spaces. [Yes/No]
Oral Cavity, Floor of the Mouth, Maxilla and Mandible
There is significant abnormality of these structures that would be an alternate explanation for the patient’s symptoms. [Yes/No]
Major Salivary Glands
There is significant abnormality of the parotid, submandibular or sublingual glands that would be an alternate explanation for the patient’s symptoms. [Yes/No]
Hypopharynx, Larynx, Deep Neck and Entire Retropharyngeal Space
There is excessive enhancement or thickening of the mucosa within the hypopharynx, larynx or trachea. [Yes/No]
There is edema within the hypopharynx, larynx or trachea. [Yes/No]
There is abscess within the hypopharynx, larynx or trachea. [Yes/No]
There is edema within the adjacent deep neck, retropharyngeal and/or prevertebral spaces. [Yes/No]
There is abscess within the adjacent deep neck, retropharyngeal and/or prevertebral spaces. [Yes/No]
Cervical Lymph Nodes
There is reactive cervical lymphadenopathy. [Yes/No]
There is suppurative cervical lymphadenopathy. [Yes/No]
If there is suppurative cervical adenopathy the purulent material outside the lymph node(s) capsule(s). [Yes/No]
Vascular Findings
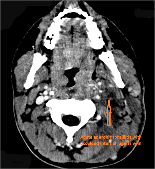
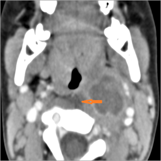
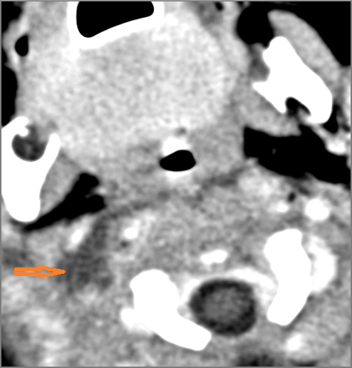
There is evidence of thrombus, thrombophlebitis or other occlusive or inflammatory process of the jugular vein. [Yes/No]
There is evidence of thrombus, thrombophlebitis or other occlusive or inflammatory process of smaller jugular venous tributaries. [Yes/No]
There is evidence of thrombus, inflammation of the common, external or internal carotid artery. [Yes/No]
There is evidence of a contained leakage from an arterial or venous source. [Yes/No]
There is evidence of active extravasation from an arterial or venous source. [Yes/No]
Upper Lung Zones and Mediastinum
The upper lung zones and mediastinum visualized are abnormal. [Yes/No]
Other
Other significant abnormal findings are present [Yes/No]
Impression
Pharyngitis - Tonsillitis
-
Pharyngitis [with/without] abscess.
Pharyngitis [with/without] suppurative retropharyngeal adenitis.
Tonsillitis [with/without] tonsillar abscess.
Tonsillitis [with/without] peritonsillar abscess.
Retropharyngeal cellulitis [with/without] abscess.
Prevertebral abscess, discitis and/or epidural abscess.
Other facial or neck cellulitis [with/without] abscess.