Maxillofacial Trauma: Mandibular

Maxillofacial Trauma: Mandibular

Search Pattern Assist ?

History

Exam

Findings

Facial and Scalp Soft Tissues and Airway

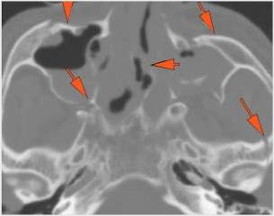
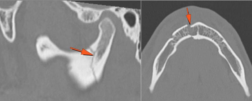
Mandible and Temporomandibular Joints

Dentition

Midface Structures and Orbit

Intracranial

Cervical Spine

Impression

Mandibular

  1. Mandibular fracture [with/without] complications - extent described above.

  2. Mandibular fracture [with/without] complications associated with other facial fractures - extent described above.

  3. Mandibular fracture [with/without] complications associated with temporal bone fractures - extent described above.

  4. Mandibular fracture [with/without] complications associated with cervical spine fractures or other injury - extent described above.