Neonatal Head Ultrasound
Neonatal Head Ultrasound
Search Pattern Assist ?History
Exam
Prior Study
Findings
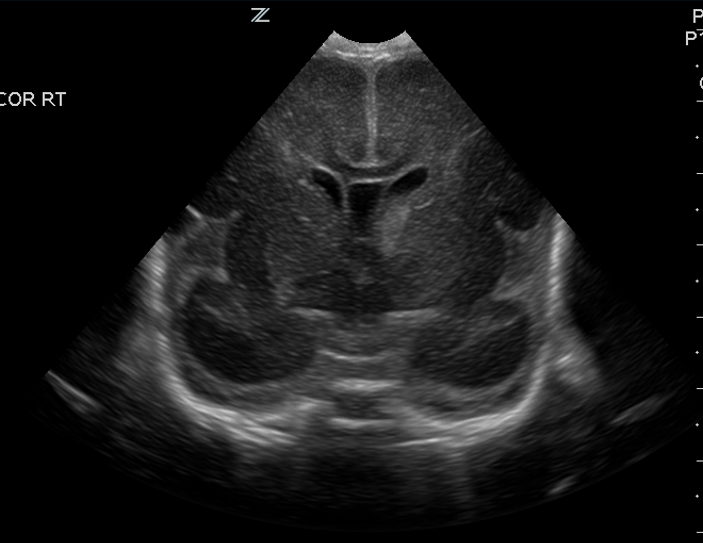
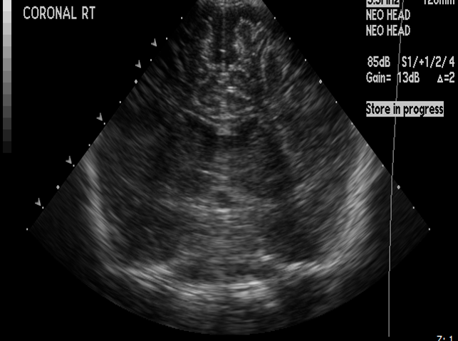
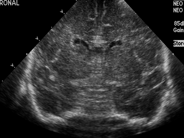
Brain
The brain is immature. [Yes/No]
There is under-sulcation and open sylvian fissures. [Yes/No]
There is/are multiple hypoechoic areas in the periventricular white matter. [Yes/No]
There is/are multiple hyperechoic areas in the periventricular white matter. [Yes/No]
There is diffuse cerebral edema with diffusely increased echogenicity of the brain parenchyma and loss of grey white matter differentiation. [Yes/No]
The thalami/basal ganglia are hypoechoic. [Yes/No]
There is periventricular calcification. [Yes/No]
There is intra-parenchymal calcification. [Yes/No]
CSF spaces/ventricular system
There is a prominence of the extra axial fluid spaces. [Yes/No]
There are debris/septations in the extra axial fluid spaces. [Yes/No]
There are debris/septations in the ventricles. [Yes/No]
There is a subdural collection on the right/left side. [Yes/No]
There is prominence of the ventricular system. [Yes/No]
There is an asymmetry of the ventricular system. [Yes/No]
There is a cavum septum pellucidum. [Yes/No]
There is a midline shift towards right/left. [Yes/No]
The choroid plexus is bulky/lobulated. [Yes/No]
There is a choroid plexus cyst measuring… [Yes/No]
There are debris/clots in the occipital horn. [Yes/No]
There is a posterior fossa cyst measuring… [Yes/No]
The tentorium is elevated/depressed. [Yes/No]
The lateral ventricle/s are dilated. [Yes/No]
The third ventricle is dilated. [Yes/No]
The 4th ventricle is dilated. [Yes/No]
There are pseudo cysts. [Yes/No]
Germinal matrix hemorrhage (Only in the premature infants): Please do not answer if the patient is a full term.
There is a germinal matrix hemorrhage, consistent with a grade I hemorrhage. [Yes/No]
There is an intraventricular extension consistent with a grade II hemorrhage. [Yes/No]
There is an intraventricular extension with the dilatation of ventricles, consistent with a grade III hemorrhage. [Yes/No]
There is an intra-parenchymal extension, consistent with grade IV hemorrhage. [Yes/No]
On color Doppler examination, the Resistive index in the anterior cerebral artery is…
There is a loss of the diastolic flow on the Doppler exam. [Yes/No]
There is altered vascularity on Doppler imaging. [Yes/No]
There is an AVM in the region of… [Yes/No]