Abdominal: Plain Film
Abdominal: Plain Film
Search Pattern Assist ?History
Exam
Findings
Technique
The exam is technically correct (not over or under penetrated, the entire abdomen/pelvis is covered, the region of interest is covered, and the exam is not limited by overlying structures of soft tissues, body habitus, patient positioning, artifact, or motion). [Yes/No]
Lines, Tubes, Drains, and Foreign Bodies
There is an NG/OG tube in place and properly positioned (the tip or sideport of the NG/OG tube is NOT above the GE junction and is NOT beyond the pyloris or otherwise malpositioned). [Yes/No]
There is a FT in place and the tip of the FT is properly located at the ligament of Trietz, and is NOT otherwise malpositioned. [Yes/No]
There is a gastrostomy, GJ, or J tube in place and in a normal position. [Yes/No]
There is/are nephrostomy tubes, ureteral catheters, or a Foley catheter in place, and properly positioned. [Yes/No]
There are surgical drains or other post-surgical changes. [Yes/No]
There is an unexpected radiopaque foreign body or incidental non-surgical foreign body in the abdomen or pelvis. [Yes/No]
There are additional lines, tubes, catheters, stents, or drains in place. (Ex. Chest tubes, mediastinal drains, internal or external biliary drains or stents, femoral lines, suprapubic tube, peritoneal dialysis catheter, epicardial pacer wires, neurostimulator, Baclofen pump, other stents including vascular, rectal tube, etc) which are properly positioned.
[Yes/No]
Stomach and Bowel Gas
There is dilatation with gas or fluid of multiple or diffuse loops of small bowel greater than 3 cm, or a few local loops of small bowel greater than 3cm. [Yes/No]
A segment of colon is distended or dilated with decompression of the more distal colon. [Yes/No]
The cecum is dilated measuring over 9-10 cm. [Yes/No]
There is dilatation of the ascending, transverse, descending, and/or sigmoid colon measuring over 6 cm. [Yes/No]
Both the small and large bowel are filled with air and/or fluid and may or may not be distended. [Yes/No]
There is displacement of loops of small or large bowel. [Yes/No]
There is a paucity of gas in the abdomen. [Yes/No]
There are centralized loops of small bowel with distention of the abdomen and pelvis. [Yes/No]
There is thickening of the wall of the stomach. [Yes/No]
There is thickening of the SB wall or valvulae conniventes 3 mm or greater. [Yes/No]
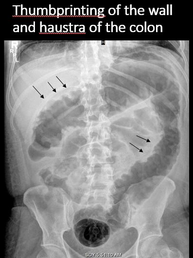
There is thickening or thumbprinting of the wall of the colon. [Yes/No]
The colon is filled with feces. [Yes/No]
There is narrowing or stricture involving the stomach or bowel. [Yes/No]
There is air, bowel, or abnormal soft tissue overlying the lower chest, abdominal wall, inguinal region, or pelvis (ex. hernia). [Yes/No]
Solid Organs and Intra-Abdominal Soft Tissues
There is hepatomegaly or a prominent right lobe (Riedel's lobe) of the liver. [Yes/No]
There are abnormal gas patterns or calcifications associated with the liver. [Yes/No]
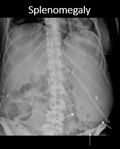
There is splenomegaly. [Yes/No]
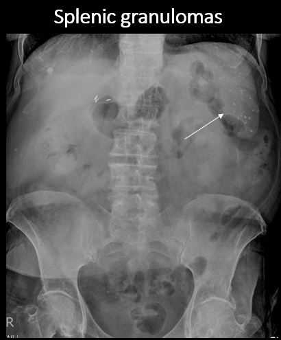
There are splenic associated calcifications. [Yes/No]
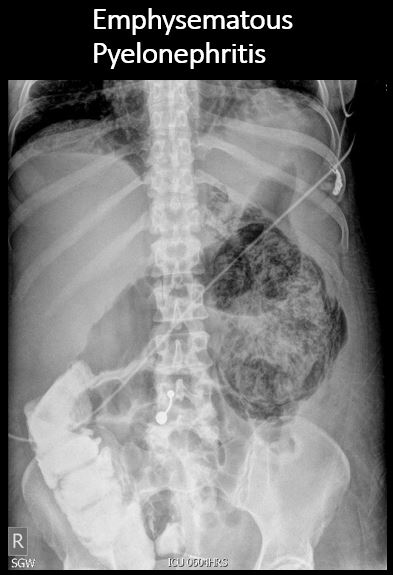
There is an abnormality of the size or contour of the right and/or left kidney. [Yes/No]
There are renal associated calcifications. [Yes/No]
There is a right or left ureteral calcification/stone anywhere from the renal pelvis to the UVJ. [Yes/No]
There is renal or ureteral associated air. [Yes/No]
The urinary bladder is distended. [Yes/No]
There is air in the urinary bladder wall or in the lumen. [Yes/No]
There are calcifications associated with the bladder. [Yes/No]
There is a soft tissue mass in the abdomen or pelvis. [Yes/No]
The right or left psoas muscle is obscured. [Yes/No]
The right or left properitoneal stripe is obscured. [Yes/No]
The paracolic gutters are abnormal. [Yes/No]
Extraluminal Air
There is free air beneath the diaphragm. [Yes/No]
There is air on both sides of the bowel wall (Rigler's sign). [Yes/No]
There is scattered extraluminal air or an abnormal focal collection of air in the abdomen or pelvis. [Yes/No]
There is air in the retroperitoneum. [Yes/No]
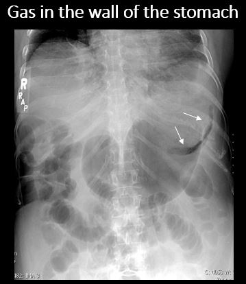
There is air in the wall of the stomach. [Yes/No]
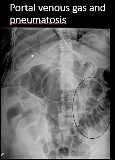
There is air in the wall of the small or large bowel. [Yes/No]
There is portal venous or other intravascular gas. [Yes/No]
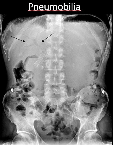
There is pneumobilia. [Yes/No]
There is air in the expected region of the gallbladder. [Yes/No]
Additional Abdominal and Pelvic Calcifications
There is calcification in the expected region of the gallbladder. [Yes/No]
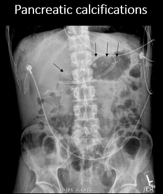
There are calcifications in the pancreas. [Yes/No]
There are calcified phleboliths in the pelvis. [Yes/No]
There are pelvic calcifications which could involve the uterus or adnexa. [Yes/No]
There is calcification of the prostate gland, vas deferens, or seminal vesicles. [Yes/No]
There are dystrophic or additional intra-abdominal soft tissue calcifications. [Yes/No]
The abdominal aorta, iliac arteries, or pelvic branches are calcified. [Yes/No]
The abdominal aorta diameter exceeds 3 cm or cannot be measured. [Yes/No]
There is aneurysmal dilatation of the common iliac arteries and/or branches. [Yes/No]
Bones and Extra-Abdominal Soft Tissues
There is a lytic, blastic, or destructive lesion of the spine, pelvis, femurs, or ribs. [Yes/No]
There is an acute or chronic fracture of the spine, pelvis, femurs, or ribs. [Yes/No]
There is abnormality of the discs, SI or hip joints, or pubic symphysis or other incidental abnormality of the pelvis. [Yes/No]
There are dystrophic calcifications in the extra-abdominal soft tissues. [Yes/No]
There is air or a foreign body in the extra- abdominal soft tissues of the abdomen, pelvis, or perineum. [Yes/No]
There is abnormality of the lung bases and/or diaphragm. [Yes/No]
Upright Abdomen or Left Lateral Decubitus
There is an upright abdomen or left lateral decubitus included. [Yes/No]
The upright abdomen does not include the diaphragm and lung bases. [Yes/No]
There is free air beneath the diaphragm or above the liver or right colon. [Yes/No]
There are more than 3 air/fluid levels or “string of pearls (beads) sign” involving the small bowel. [Yes/No]
There are air/fluid levels in the colon. [Yes/No]
There are abnormalities in the lung bases that may require further investigation (describe). [Yes/No]
Upright Chest Exam
There is an upright view of the chest included. [Yes/No]
The upright view of the chest does not include the diaphragm. [Yes/No]
There is free air beneath the diaphragm. [Yes/No]
There are abnormalities on the chest exam that may require further investigation (describe). [Yes/No]