RLQ pain

Review the Learning Outcomes, Hx, PE and Labs, and begin the module with your Provisional Diagnosis. Keep hitting "Next" to move through the module.

Learning Outcomes

  1. Understand your relationship with consulting diagnostic radiologists, in RLQ pain.
  2. Learn the DDx considerations in RLQ scenarios.
  3. Understand the spectrum of imaging findings in appropriate modalities for evaluating RLQ pain.

History

Physical Exam

Labs

Provisional Diagnosis

Select the Dx you believe is most appropriate
Given this patient's age and spectrum of findings, appendicitis is a primary concern for pain in the RLQ.
Well done. You were correct

Potential Acuity

What is your assessment of the likely acuity for this patient?

Well done. You were correct
Potential appendicitis must be established within 1-2 hours because of risk of rupture and need for urgent surgery.

First Imaging Study

What is the first imaging study you will order?

Ultrasound is a fast and cost effective option for analysis of potential appendicitis. It can be performed at the bedside if necessary, and no radiation is involved.
Well done. You were correct

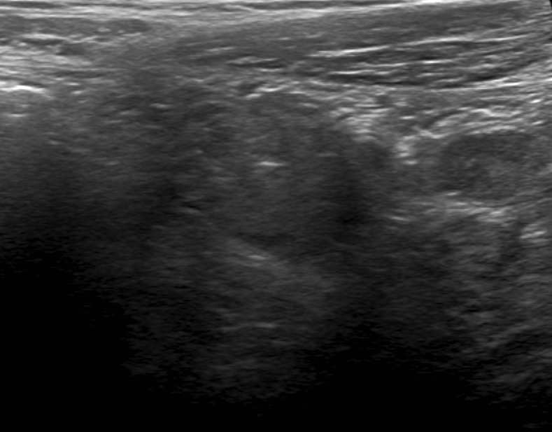
Pertinent Imaging Observations

Click on the links below to view images from the study, and assess these key findings as best you can.

Watch our video

View the full study if you'd like to take a look yourself.

Second Imaging Study

What is the next imaging study you will order?

Because of gas obscuring the appendix on ultrasound, a CT is required to assess this case. A CT with contrast is preferred where possible. It will help with assessment of an inflamed appendix.
Well done. You were correct

Pertinent Imaging Observations

Click on the links below to view images from the study, and assess these key findings as best you can.

View the full study if you'd like to like a look yourself

Third Imaging Study

What is the next imaging study you will order?

The diagnosis is made on the CT scan and no other studies are required.

What is your Diagnosis now that you have seen the imaging results?

Acute uncomplicated appendicitis. (No evidence of perforation or abscess)

Current Acuity

Initially, you selected and we suggested acuity.

Has your concern for this patient changed?

Without a rupture there is no imminent risk of sepsis. It is likely the patient can be treated with urgent laparoscopic, rather than open surgery.

Assessment and Plan

Please provide your assessment and plan for this patient

Contact the ER physician to relay the findings of acute uncomplicated appendicitis. Pediatric surgery will be consulted.

Lessons Learned

Socioeconomic Factors: The diagnosis of appendicitis can often be made by ultrasound, especially in the pediatric population. It would be lower cost and there is no radiation exposure. However, the appendix may be obscured by bowel gas and a CT would be necessary if clinical suspicion remains high.

That's the end of the module! Once you've reviewed the video(s), you can click here for another case challenge.

Next