Section 1

Submit Findings

Case167

Findings

Facial and Scalp Soft Tissues and Airway

There is localized edema, hematoma or abscess within in the periauricular, other facial or scalp soft tissues, SMAS, infratemporal fossa, masticator space or oral cavity.

There is evidence of gas or a foreign body at a possible fracture site, indicative of an open or penetrating injury.

There is soft tissue swelling suggesting injury to the parotid or submandibular glands.

The upper airway is significantly narrowed or obstructed.

Intracranial and Calvarium

There is evidence of extracranial gas or a foreign body at a possible fracture site.

There is a calvarial fracture.

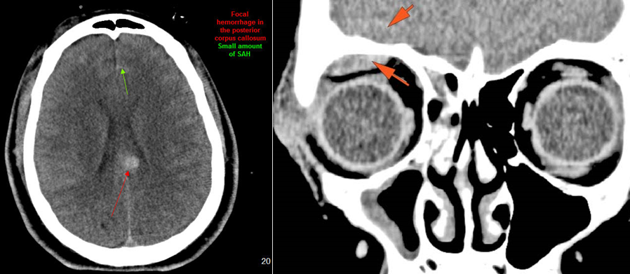
There is subperiosteal, epidural or subdural hematoma and/or pneumocephalus along the boney walls of the anterior, middle or posterior cranial fossa or elsewhere.

Right Temporal Bone

The external auditory canal shows abnormal soft tissue thickening.

The roof of the mastoid and/or middle ear is fractured.

A possible meningocele and/or encephalocele or CSF leak is present.

The ossicles, in particular the incus long process, the incudostapedial joint and stapes are fractured or dislocated.

The facial canal including the labyrinthine, tympanic and descending portions and nerve are fractured.

The inner ear including the lateral semicircular canals, vestibule and/or cochlea is fractured or otherwise abnormal.

There is subperiosteal, epidural or subdural hematoma along the roof of the mastoid or middle ear or the superior and posterior (intracranial) surfaces of the petrous portion of the temporal bone.

Left Temporal Bone

The external auditory canal shows abnormal soft tissue thickening.

The roof of the mastoid and/or middle ear is fractured.

A possible meningocele and/or encephalocele or CSF leak is present.

The ossicles, in particular the incus long process, the incudostapedial joint and stapes are fractured or dislocated.

The facial canal including the labyrinthine, tympanic and descending portions and nerve are fractured.

The inner ear including the lateral semicircular canals, vestibule and/or cochlea is fractured or otherwise abnormal.

There is subperiosteal, epidural or subdural hematoma along the roof of the mastoid or middle ear or the superior and posterior (intracranial) surfaces of the petrous portion of the temporal bone.

Midface - Maxillary region

There is evidence of a midface injury.

Fronto- naso - ethmoidal complex

There is injury of the fronto-nasal- ethmoid complex. Specifically, the ethmoid roof, olfactory fossa and the cribriform plate are fractured and/or significantly dehiscent.

The frontal bone and frontal sinus inner and outer tables are fractured.

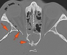
Zygomatico-orbital region and globes

There is fracture of the greater or lesser wing of the sphenoid bone, optic strut and canal, or basisphenoid, in the region of the orbital apex.

The circumferential extraconal and the intraconal orbital fat including that of the orbital apex are edematous or otherwise abnormal.

There is evidence of tension orbit.

Central Skull Base and Calvarium

Mandible and Temporomandibular Joints

There is bony injury or displacement of the any part of the of the mandible including the condylar head and fossa.

Dentition

Cervical spine

The visualized portions of the cervical spine are abnormal for the patient’s age.