Section 1

Submit Findings

Case037

Findings

Nasal Cavity and Nasolacrimal Drainage System

There is mucoperiosteal thickening in the nasal cavity.

There is mucosal thickening of the posterior lateral walls of the nasal cavity, cribriform plate or the face of the sphenoid bone.

There is infiltration of soft tissues or bone erosion along the nasolacrimal fossa or canal.

Sinuses

There is soft tissue swelling anterior to the frontal sinus or in the soft tissues surrounding the maxillary sinuses.

There is mucoperiosteal thickening in the sinuses.

There is mucosal enhancement in the sinuses.

There is bone erosion along the walls of any affected sinuses.

There is an appearance of bone expansion, due to regressive remodeling and suggestive of pre-existing mucocele, along the walls of any affected sinuses.

Orbits

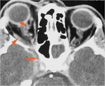
The extraconal orbital fat is abnormal.

There is a subperiosteal abscess or edema along the medial wall, roof or floor of the orbit.

The extraocular muscles are swollen or otherwise abnormal.

There is bone erosion along the walls of the orbit.

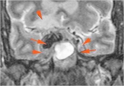
The superior and/or inferior ophthalmic veins are dilated or thrombosed.

Eyes

Proptosis is present.

The optic nerve is stretched in appearance.

Signs of tension orbit or endophthalmitis are present.

Nasopharynx

Intracranial

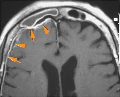
There is a subperiosteal fluid collection or abscess along the boney walls of the anterior or middle cranial fossa.

There is an epidural fluid collection or abscess along the boney walls of the anterior or middle cranial fossa.

There is a subdural fluid collection or abscess along the boney walls of the anterior or middle cranial fossa.

There is a subdural fluid collection or abscess along the falx cerebri or within the tentorium.

There is evidence of thrombus, thrombophlebitis or other occlusive or inflammatory process of the cavernous sinus.

There is evidence of inflammation of the distal internal carotid artery.

There is evidence of an infectious aneurysm.

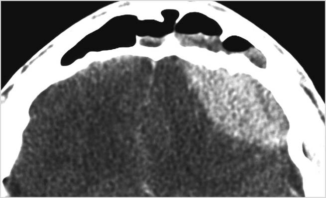
There is brain edema specifically involving the frontal and temporal lobes.

There is cerebritis specifically involving the frontal and temporal lobes.

There is brain abscess specifically involving the frontal and temporal lobes.

There is likely meningitis, meningoencephalitis with complicating hydrocephalus or brain herniation.

Developmental variants

The anterior ethmoid arteries are on a mesentery.

The medial walls of the orbit position are abnormal due to their position or a significant dehiscence.

The overall cephalocaudal dimensions of the ethmoid complex are unusual small.

The olfactory fossa has an abnormal depth relative to the roof of the ethmoid complex and the cribriform plate has a significant dehiscence.

The carotid artery and optic nerves adjacent to the sphenoid sinus are in an abnormal position and/or the overlying bone shows significant dehiscence.