Section 1

Submit Findings

Case016

Findings

Nasopharynx

There is excessive enhancement or thickening of the mucosa or hypertrophy of the lymphoid tissue in the nasopharynx.

Oropharynx

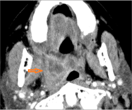
There is excessive enhancement or thickening of the mucosa or hypertrophy of the palatine or lingual tonsillar tissue or the lymphoid tissue along the glossotonsillar sulci and posterior pharyngeal wall.

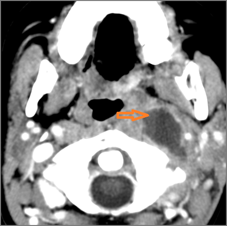
There is abscess at the periphery of the lymphoid tissue of the palatine tonsil within the potential peritonsillar space.

Retropharyngeal Lymph Nodes

If there is suppurative retropharyngeal adenopathy what is the maximum short axis dimension of the largest suppurative node. MEASUREMENT

Oral Cavity, Floor of the Mouth, Maxilla and Mandible

There is significant abnormality of these structures that would be an alternate explanation for the patient’s symptoms.

Major Salivary Glands

There is significant abnormality of the parotid, submandibular or sublingual glands that would be an alternate explanation for the patient’s symptoms.

Hypopharynx, Larynx, Deep Neck and Entire Retropharyngeal Space

There is excessive enhancement or thickening of the mucosa within the hypopharynx, larynx or trachea.

There is abscess within the hypopharynx, larynx or trachea.

There is edema within the adjacent deep neck, retropharyngeal and/or prevertebral spaces.

There is abscess within the adjacent deep neck, retropharyngeal and/or prevertebral spaces.

Cervical Lymph Nodes

If there is suppurative cervical adenopathy the purulent material outside the lymph node(s) capsule(s).

Vascular Findings

Upper Lung Zones and Mediastinum

The upper lung zones and mediastinum visualized are abnormal.

Other

Other significant abnormal findings are present