Section 1

Submit Findings

Case049

Findings

General

​There is general or localized soft tissue swelling of the superficial or deep neck soft tissues.

There is gas in the soft tissues.

 There is foreign body separate from or in areas of soft tissue swelling.

Nasopharynx Including Retropharyngeal Lymph Nodes

There is edema/abscess or likely suppurative retropharyngeal adenitis involving the nasopharynx or adjacent deep tissue spaces.

Oropharynx

There is edema/abscess tonsillar or otherwise or likely suppurative retropharyngeal adenitis involving the oropharynx or adjacent deep tissue spaces.

Oral Cavity, Floor of the Mouth, Maxilla and Mandible

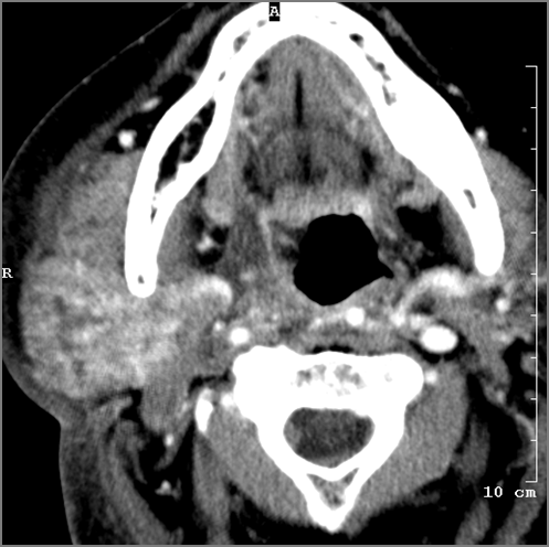
There is edema/abscess within or surrounding the buccal space, masticator space, floor of the mouth, submandibular space or the adjacent superficial fascia or subcutaneous fat and skin.

Major Salivary Glands

The parotid, submandibular and sublingual glands are enlarged.

The parotid, submandibular and sublingual glands do show abnormal enhancement.

Hypopharynx, Larynx, Deep Neck and Entire Retropharyngeal Space

There is edema/abscess arising from the hypopharynx, larynx, thyroid gland or trachea.

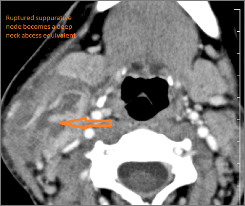
There is edema/abscess within the adjacent deep neck, and/or retropharyngeal space.

There is evidence of a branchial or other origin inflamed/ infected developmental cyst.

Prevertebral and Epidural Spaces

There is edema/abscess within in the prevertebral or paravertebral spaces.

There is erosive process involving the disc spaces or other components of the spine.

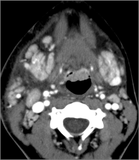
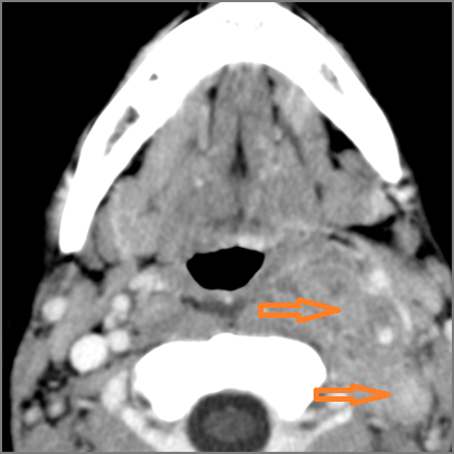
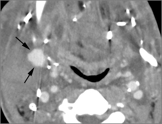
Cervical Lymph Nodes

If there is suppurative cervical adenopathy the purulent material outside the lymph node(s) capsule(s).

Vascular Findings

There is evidence of thrombus, thrombophlebitis or other occlusive or inflammatory process of the jugular vein or smaller jugular venous tributaries.

There is evidence of active extravasation from an arterial or venous source.

Upper lung zones and mediastinum

The upper lung zones and mediastinum visualized are abnormal.

Other

Other significant abnormal findings are present.