Case Notes
History
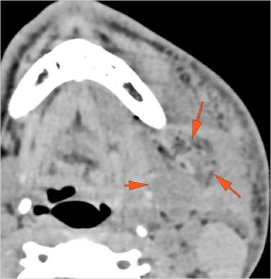
34-year-old male in the ER following an altercation with possible mandibular or other facial fractures due to craniofacial trauma.Exam
34-year-old male in the ER following an altercation with possible mandibular or other facial fractures due to craniofacial trauma.