Case Notes
History
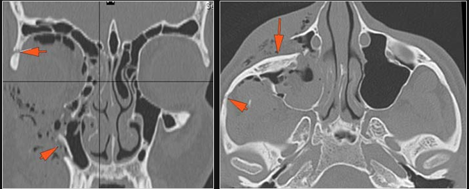
Possible facial, mandibular, orbital, and/or skull fractures, due to craniofacial trauma.Exam
Non-contrast CT of the maxillofacial region was obtained with 0.5-1.0 mm thick sections in the axial plane and reformatted 3D and/or in the coronal and sagittal planes and viewed interactively in 3 dimensions at the computer workstation.