Adult Extremities 5
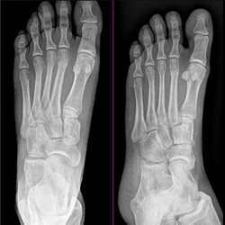
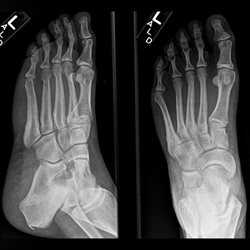
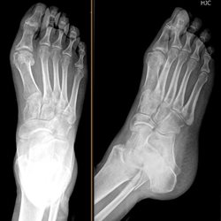
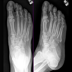
Various foot cases
CME INFORMATION
Presented by
Mehmet Albayram, MD
Assistant Professor
Department of Radiology
University of Florida
Ivan Davis, MD
Assistant Professor
Department of Radiology
University of Florida
Mariam Hanna, MD
Breast Imaging Division Chief
Assistant Professor
Department of Radiology
University of Florida
Anthony Mancuso, MD
Chair and Professor
Department of Radiology
University of Florida
Ronald Quisling, MD
Emeritus Professor
Department of Radiology
University of Florida
Dhanashree Rajderkar, MD
Pediatric Division Chief
Associate Professor
Department of Radiology
University of Florida
Priya Sharma, MD
Assistant Professor
Department of Radiology
University of Florida
Roberta Slater, MD
Senior Lecturer
Department of Radiology
University of Florida
Program Description
This CME activity consists of the student reviewing DICOM study sets with related video reviewed by the professor.
Learning Objectives
As a result of participation in this activity, participants should be able to:
- Provide improved patient care.
- Greater knowledge of the imaging characteristics of the patient’s disease.
- Understand a better approach to interpretation of studies.
Faculty Disclosure
Mehmet Albayram, MD, Ivan Davis, MD, Mariam Hanna, MD, Anthony Mancuso, MD, Ronald Quisling, MD, Dhanashree Rajderkar, MD, Priya Sharma, MD, Roberta Slater, MD and Joann Stamm, MBA have disclosed that they have no relevant financial relationships. No one else is a position to control content have any financial relationship to disclose.
CME Advisory Committee Disclosure:
Conflict of interest information for the CME Advisory Committee members can be found on the following website: https://cme.ufl.edu/disclosure/.
Continuing Medical Education Credit
Accreditation: The University of Florida College of Medicine is accredited by the Accreditation Council for Continuing Medical Education (ACCME) to provide continuing medical education for physicians.
Credit: The University of Florida College of Medicine designates this enduring material for a maximum of 0.5 AMA PRA Category 1 Credits. Physicians should claim only the credit commensurate with the extent of their participation in the activity.