Section 1

Submit Findings

CB1429

Findings

Prior Study

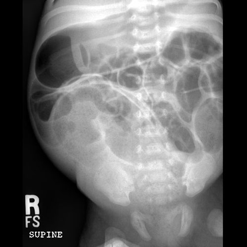
KUB/Supine Abdomen.

Procedural

An -----French straight catheter was inserted just into the rectum.

An -----French straight catheter was inserted in the mucous fistula.

Under fluoroscopic guidance, the rectum and colon were filled with contrast, and fluoroscopic images were obtained.

The colon was filled through its entire length, confirmed by contrast filling of the appendix and reflux into terminal ileum.

The colon was partially filled.

The patient evacuated contrast completely and a post-evacuation overhead radiograph was obtained.

The exam is limited by patient motion or non-cooperativity.

There are filling defects.

There are masses.

There is intussusception.

There are strictures or stenosis.

There are ulcerations/mucosal abnormality.

There is a fistula.

There is an extrinsic mass effect.

Post-evacuation radiograph showed complete evacuation of the colon.

Scout Image of the abdomen

There is a large amount of stool burden.

There is an unexpected radiopaque foreign body or incidental non-surgical foreign body in the abdomen or pelvis.

There are additional lines, tubes, catheters, or drains in place. (e.g. chest tubes, mediastinal drains, rectal temp probe, etc.)

There is dilatation with gas or fluid of multiple or diffuse loops of bowel.

​Both the small and large bowel are filled with air and/or fluid and may or may not be distended.

There is a paucity of gas in the abdomen.

There are centralized loops of small bowel with distention of the abdomen and pelvis.

There is organomegaly.

There are intra-abdominal calcifications.

There is free air present.

The visualized bones are abnormal.

The hemidiaphragmatic excursions are inequal and nonsynchronous.

There is a soft tissue mass.

There is an NG/OG/FT tube which is malpositioned.